网站首页
关于我们
公司简介
平台展示
组织架构
荣誉资质
知识产权
发展历程
企业文化
服务项目
湘西测序分析服务
湘西细胞生物学实验
湘西分子生物学实验
湘西动物学实验
湘西组织病理学实验
湘西临床前CRO
湘西类器官技术服务
合作流程
新闻资讯
公司动态
行业资讯
专业知识
联系我们
025-87183621
网站首页
关于我们
公司简介
平台展示
组织架构
荣誉资质
知识产权
发展历程
企业文化
服务项目
湘西测序分析服务
湘西细胞生物学实验
湘西分子生物学实验
湘西动物学实验
湘西组织病理学实验
湘西临床前CRO
湘西类器官技术服务
合作流程
新闻资讯
公司动态
行业资讯
专业知识
联系我们
湘西测序分析服务
湘西细胞生物学实验
湘西分子生物学实验
湘西动物学实验
湘西组织病理学实验
湘西临床前CRO
湘西类器官技术服务
首页
>>
服务项目
>>
湘西组织病理学实验
湘西组织病理学实验
湘西测序分析服务
湘西细胞生物学实验
湘西分子生物学实验
湘西动物学实验
湘西组织病理学实验
湘西临床前CRO
湘西类器官技术服务
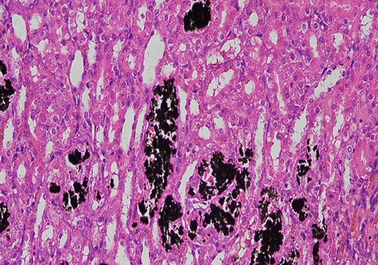
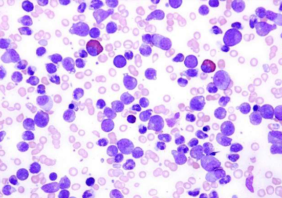
嗜酸性粒细胞染色
以下是关于嗜酸性粒细胞染色的相关内容:染色方法瑞氏染色原理:瑞氏染料由酸性染料伊红(E-)和碱性染料亚甲蓝(M+)组成。既有物理的吸附作用,又有化学的亲和作用。血红···
more
Feulgen 富尔根染色
Feulgen 富尔根染色是一种用于检测 DNA 的经典染色方法,以下是其相关介绍:基本原理水解反应:利用 1M HCl 在 60℃下水解,使 DNA 分子中嘌呤碱基与去氧核糖之间的糖苷键打···
more
抗酸染色
以下是关于抗酸染色的详细介绍:基本原理细胞壁结构特殊:分枝杆菌的细胞壁含有大量的脂质,尤其是分枝菌酸,形成致密的蜡样包膜。这种包膜具有疏水性,普通染色剂的极性分···
more
ATP 酶染色
以下是关于 ATP 酶染色的相关介绍:基本原理ATP 酶是一种水解酶,可催化 ATP 分解产生能量。在 ATP 酶染色中,常用的是钙钴法,其原理是 ATP 酶水解 ATP 为 ADP 和磷酸,磷···
more
Von Kossa 染色
以下是关于 Von Kossa 染色的详细介绍:基本信息定义:Von Kossa 染色是一种特殊的组织学染色技术,用于检测组织和样本中的钙盐沉积,尤其是磷酸钙染色原理:利用银离子与组···
more
六胺银染色
六胺银染色又称 PASM 染色,是临床常用的一种组织化学染色技术,以下是关于它的详细介绍:染色原理:标本经高碘酸等氧化剂氧化后,使真菌和其他机会性生物的细胞壁内的粘多···
more
首页
<<
···
2
3
4
5
6
5/6
>>
尾页
在线留言
Online message
姓名
电话
留言内容
提交信息
联系我们
Contact us
南京东极生物科技有限公司
扫一扫关注
地址:南京市六合区新港湾路166号协合智谷产业园16-3栋
电话:139-1599-6230 025-87183621
邮箱:sales@dj-cro.com
网址:http://xiangxi.dj-cro.com
友情链接:
Copyright © 2023 南京东极生物科技有限公司版权所有 All Rights Reserved.
苏ICP备13041166号-5
XML地图
QQ
微博
首页
电话
返回顶部